图片 牙龈肿痛怎么办?_平博体育app_平博体育在线-注册登陆
美牙热线:400-8888-888
    当前位置:平博体育app_平博体育在线-注册登陆 > 综合治疗 > 牙龈出血 >
牙龈肿痛怎么办?
来源:平博体育app_平博体育在线-注册登陆 更新时间:2015-04-06 11:09 点击:
新年特惠送祝福

  牙龈肿痛怎么办?网上各种消除牙龈肿痛的小偏方是否让您有点找不着北了呢?消除牙龈肿痛就是要准确、快速、见效。那么,牙龈肿痛怎么办才好?以下武汉爱齿尔口腔专家为大家做出牙龈肿痛的正解。
 

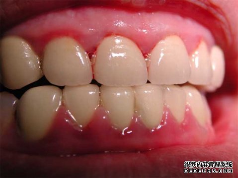
牙龈肿痛怎么办

  牙龈肿痛不是什么稀罕的事情,武汉爱齿尔口腔专家介绍说:牙龈肿痛实际上是牙齿根部痛,而且牙齿周围齿肉肿胀,也有牙肉肿痛的说法。牙龈肿痛主要是由于牙龈炎引起的,牙龈炎症可通过牙缝、牙结石、口腔死角进行多方位传播,导致牙龈周围布满牙菌斑而引发牙龈肿痛,所以治疗牙龈肿痛需有效控制口腔内的牙菌斑。如果是牙龈上火或是口腔清洁不到位引起的轻度牙龈肿痛,注意清淡饮食和口腔清洁,服用一些消炎药(如甲硝唑片、替硝唑片)就可以解决了;若是蛀牙引起的牙龈肿痛则需要提高警惕,及时到专业口腔机构检查一下。
  
  牙龈肿痛带来的不仅是疼痛,妨碍进食和社交,如果治疗不及时,还会直接导致牙龈出血,牙根内组织坏死,最后牙齿松动甚至脱落,所以牙龈肿痛的治疗宜早不宜迟,其牙龈肿痛具体的解决方法多半是要靠患者在日常生活中养成良好的习惯,主要有:
  
  ①进食宜温热。勿吃过酸过甜的食品,因为牙齿最适宜在35℃-36℃的口腔温度以及PH值为6.8左右的弱酸性环境中进行新陈代谢,若吃过冷、过热温差很大的饮食或过酸、过甜的刺激性食品,都会引起牙龈肿痛。
  
  ②用温水刷牙、温茶水漱口。因为牙髓神经对温度比较敏感,尤其是患有牙齿磨损,牙本质暴露的牙齿,一遇冷刺激就可引起牙痛,而温水对牙齿来说是一种天然的保护剂,可防治过敏性牙痛;茶水含氟,常用温热茶水含漱,可护齿防龋治牙痛。
  
  ③常用脱敏或防酸牙膏刷牙。这两种牙膏中含有氟,而氟可阻止牙齿在酸性环境中脱磷脱钙,有抗酸、防龄、止酸痛之功效。
  
  ④用大蒜头磨擦止痛。有较严重磨损的牙齿,并有明确的酸痛区者,可用生大蒜头反复磨擦敏感区,每天1-2次,每次1-2分钟,1-2周后肿痛感就会明显减轻或消失。
  
  ⑤选择软毛保健型牙刷。刷头小、刷毛软、有弹性,刷头放在嘴里转动自如,既不伤害牙龈也不损伤牙齿。
  
  牙龈肿痛怎么办?以上就是消除牙龈肿痛比较有效的方法,需要注意的是一般的漱口是无法将口腔内的牙菌斑去除掉的,所以最为行之有效的方法是每半年或一年进行一次彻底的洁牙,清除牙齿表面和牙缝中的牙菌斑、牙结石,彻底解决并预防牙龈肿痛问题。如遇牙龈肿痛,可拨打(027)-82720066问询全国最好的口腔医院武汉爱齿尔口腔医生,届时将为您提供治疗牙龈肿痛的最佳方案。详情登陆:

温馨提示:当文章不能完全解决您的问题时,请点击在线咨询与西宁京瑞口腔专家一对一交流!打字不方便的朋友可拔打我院24小时咨询热线:09718222218,与专业口腔医生进行语音交流。
    西宁京瑞口腔以专业的心,做专业的事!现在进行网上预约,享受"优惠活动",不用排队,节省您的时间和精力!
上一篇:上火牙龈肿痛怎么办? 下一篇:没有了